特長
広視野高コントラスト‧高分解能の両立
1つの対物レンズで長焦点と短焦点の2つの電子光学モードを設定することが可能な日立独自の複合対物レンズを搭載しています。これにより、低倍率の広視野‧高コントラスト観察から高分解能観察までを1台の装置でサポートします。

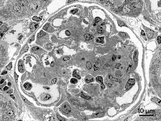
広視野・高コントラスト観察例
試料:ラット腎臓(染色)
加速電圧:80 kV, 観察倍率:x300

高分解能観察例
試料:アスベスト
加速電圧:120 kV, 観察倍率:x400,000
簡単操作と多彩なリモート活用
スクリーンカメラによる視野探しから、メインカメラでの像撮影までの⼀連の操作をモニター上に⼀元化し、直感的でスムーズな操作環境を提供します。さらに、装置のデジタル化により、複数拠点間でのリアルタイム画面共有や意⾒交換、遠隔操作*1、教育現場での活用など、リモート環境下でも高いパフォーマンスを発揮します。
- *1
- ExTOPE EM(オプション)

直感的な操作が可能な高感度スクリーンカメラ
安定したTEM操作をサポートする自動化機能
日常的な調整作業を支援する自動ビーム調整機能、画像取得を自動化‧効率化するImage Navigation機能、柔軟なワークフロー構築を可能にするEM Flow Creator*2など、各種自動化機能を強化しています。これにより、操作の安定性と再現性が向上し、高品質なTEMデータの取得が可能になります。
- *2
- オプション

自動ビーム調整機能*3

EM Flow Creator
- *3
- Auto Z stage adjustmentは、5軸ステージ(オプション)が必要です。
幅広い用途に対応する各種機能を搭載
自動つなぎ画像作成機能や3Dトモグラフィー、ホロコーン暗視野像観察機能を標準搭載しています。また、CLEMシステム*2、STEM*2、EDS元素分析*2、クライオシステム*2など各種オプションにも対応し、研究目的や解析ニーズに応じて幅広くご活用いただけます。
- *2
- オプション